Siso sem dor e sorriso transformado com tecnologia avançada
Siso sem Dor e com Recuperação mais rápida em Rio Preto
Já ouviu falar em PRF?
O PRF é um concentrado plaquetário de segunda geração, obtido do sangue do próprio paciente, sem adição de anticoagulantes ou aditivos químicos.
Importância do PRF em Cirurgias do Siso
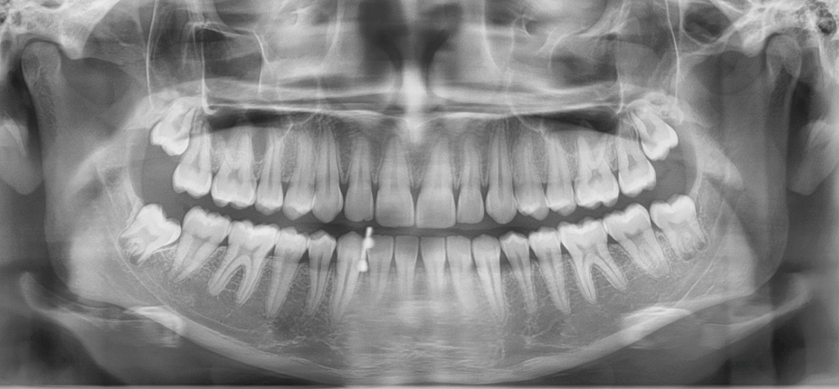
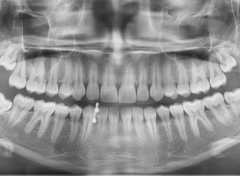
A cirurgia de terceiros molares é um dos procedimentos mais frequentes da odontologia, e o PRF trouxe uma revolução por reduzir complicações pós-operatórias.
Benefícios clínicos comprovados:
✅ Acelera cicatrização óssea e gengival
✅ Reduz dor pós-operatória
✅ Menos inflamação (diminui edema)
✅ Reduz incidência de infecções de pós operatório (alveolite seca)
✅ Melhora a neoformação óssea no alvéolo pós-exodontia










Dente deitado
Dente inclinado

Está sentindo dor? Mau hálito? Inchaço? Dificuldade pra comer?
Pare de sofrer! Agende sua avaliação.
Contato
Agende sua consulta com facilidade e rapidez
Telefone
izamartinez@outlook.com
Dra. Izadora Martinez | CROSP 153808 | ☎️Whatsapp: 17988223337 | @draizamartinez
Endereço
Rua São Pedro - São José do Rio Preto
Horários de atendimento
07:00h - 19:00h
Dra. Izadora Martinez | CROSP 153808
Especialista em estética, reabilitação oral e cirurgia de siso com PRF